
货号
产品规格
售价
备注
BN40762R-100ul
100ul
¥2360.00
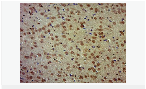
交叉反应:Rat,Mouse(predicted:Sheep,Horse,Cow,Dog,Chicken,Human) 推荐应用:WB,IHC-P,IHC-F,ICC,IF
BN40762R-200ul
200ul
¥3490.00
交叉反应:Rat,Mouse(predicted:Sheep,Horse,Cow,Dog,Chicken,Human) 推荐应用:WB,IHC-P,IHC-F,ICC,IF
| 英文名称 | SOX2 |
| 中文名称 | 胚胎干细胞关键蛋白抗体 |
| 别 名 | transcriptional factor SOX2; ANOP3; cb236; Delta EF2a; lcc; MCOPS3; MGC148683; MGC2413; RGD1565646; Sex determining region Y box 2; Sex determining region Y-box 2; SOX 2; SRY (sex determining region Y) box 2; SRY box containing gene 2; SRY related HMG box 2; SRY related HMG box gene 2; SRY-box 2; ysb; SOX2_HUMAN; Transcription factor SOX-2; SOX2_HUMAN. |
| 研究领域 | 肿瘤 细胞生物 神经生物学 干细胞 |
| 抗体来源 | Rabbit |
| 克隆类型 | Polyclonal |
| 交叉反应 | Human, Mouse, Rat, (predicted: Chicken, Dog, Cow, Horse, Sheep, ) |
| 产品应用 | WB=1:500-2000 IHC-P=1:100-500 IHC-F=1:100-500 ICC=1:100 IF=1:100-500 (石蜡切片需做抗原修复) not yet tested in other applications. optimal dilutions/concentrations should be determined by the end user. |
| 分 子 量 | 34kDa |
| 细胞定位 | 细胞核 |
| 性 状 | Liquid |
| 浓 度 | 1mg/ml |
| 免 疫 原 | KLH conjugated synthetic peptide derived from human SOX2:1-100/317 |
| 亚 型 | IgG |
| 纯化方法 | affinity purified by Protein A |
| 储 存 液 | 0.01M TBS(pH7.4) with 1% BSA, 0.03% Proclin300 and 50% Glycerol. |
| 保存条件 | Shipped at 4℃. Store at -20 °C for one year. Avoid repeated freeze/thaw cycles. |
| PubMed | PubMed |
| 产品介绍 | This intronless gene encodes a member of the SRY-related HMG-box (SOX) family of transcription factors involved in the regulation of embryonic development and in the determination of cell fate. The product of this gene is required for stem-cell maintenance in the central nervous system, and also regulates gene expression in the stomach. Mutations in this gene have been associated with optic nerve hypoplasia and with syndromic microphthalmia, a severe form of structural eye malformation. This gene lies within an intron of another gene called SOX2 overlapping transcript (SOX2OT). [provided by RefSeq, Jul 2008]. Function: Transcription factor that forms a trimeric complex with OCT4 on DNA and controls the expression of a number of genes involved in embryonic development such as YES1, FGF4, UTF1 and ZFP206 (By similarity). Critical for early embryogenesis and for embryonic stem cell pluripotency. May function as a switch in neuronal development. Downstream SRRT target that mediates the promotion of neural stem cell self-renewal (By similarity). Keeps neural cells undifferentiated by counteracting the activity of proneural proteins and suppresses neuronal differentiation. Subunit: Interacts with ZSCAN10. Interacts with SOX3 and FGFR1. Subcellular Location: Nucleus. Post-translational modifications: Sumoylation inhibits binding on DNA and negatively regulates the FGF4 transactivation. DISEASE: Defects in SOX2 are the cause of microphthalmia syndromic type 3 (MCOPS3) [MIM:206900]. Microphthalmia is a clinically heterogeneous disorder of eye formation, ranging from small size of a single eye to complete bilateral absence of ocular tissues (anophthalmia). In many cases, microphthalmia/anophthalmia occurs in association with syndromes that include non-ocular abnormalities. MCOPS3 is characterized by the rare association of malformations including uni- or bilateral anophthalmia or microphthalmia, and esophageal atresia with trachoesophageal fistula. Similarity: Contains 1 HMG box DNA-binding domain. SWISS: P48431 Gene ID: 6657 Database links: Entrez Gene: 6657 Human Entrez Gene: 20674 Mouse Omim: 184429 Human SwissProt: P48431 Human SwissProt: P48432 Mouse Unigene: 518438 Human Unigene: 65396 Mouse Important Note: This product as supplied is intended for research use only, not for use in human, therapeutic or diagnostic applications. Embryonic Stem Cell Marker (胚胎干细胞标志物) 转录因子:胚胎干细胞相关蛋白Sox2是sox基因家族的一个成员,Sox2与Oct4、Nanog一样是胚胎干细胞重要的转录因子,是维持干细胞特性中起到重要的作用因子;由于它在早期胚胎发生、神经分化和晶状体发育等多种重要的发育事件中都起着关键的作用,从而引起了越来越广泛的关注。 |






