
货号
产品规格
售价
备注
BN41426M-100ul
100ul
¥2470.00
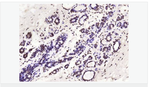
交叉反应:Human,Mouse,Rat 推荐应用:WB,IHC-P,IHC-F,ICC,IF,ELISA
| 英文名称 | Histone H3(di methyl K27) |
| 中文名称 | 甲基化组蛋白H3(di methyl K27)单克隆抗体 |
| 别 名 | Histone H3 (di methyl Lys27); H3K27me2; Histone Cluster 3, H3; H3 Histone Family, Member T; Histone 3, H3; H3FT; H3/G; H3/T; H3t; H3.4 ; Histone H3.1t ; HIST3H3; HGNC:4778; H31T_HUMAN |
| 产品类型 | 甲基化抗体 |
| 研究领域 | 染色质和核信号 表观遗传学 |
| 抗体来源 | Mouse |
| 克隆类型 | Monoclonal |
| 克 隆 号 | 5C11 |
| 交叉反应 | Human, Mouse, Rat, |
| 产品应用 | WB=1:500-2000 ELISA=1:5000-10000 IHC-P=1:100-500 IHC-F=1:100-500 ICC=1:100-500 IF=1:100-500 (石蜡切片需做抗原修复) not yet tested in other applications. optimal dilutions/concentrations should be determined by the end user. |
| 分 子 量 | 15kDa |
| 细胞定位 | 细胞核 |
| 性 状 | Liquid |
| 浓 度 | 1mg/ml |
| 免 疫 原 | KLH conjugated synthetic peptide derived from human Histone H3 (acetyl K4):AR(di Methyl-K)SA |
| 亚 型 | IgG1 |
| 纯化方法 | affinity purified by Protein G |
| 储 存 液 | 0.01M TBS(pH7.4) with 1% BSA, 0.03% Proclin300 and 50% Glycerol. |
| 保存条件 | Shipped at 4℃. Store at -20 °C for one year. Avoid repeated freeze/thaw cycles. |
| PubMed | PubMed |
| 产品介绍 | Histones are basic nuclear proteins that are responsible for the nucleosome structure of the chromosomal fiber in eukaryotes. Nucleosomes consist of approximately 146 bp of DNA wrapped around a histone octamer composed of pairs of each of the four core histones (H2A, H2B, H3, and H4). The chromatin fiber is further compacted through the interaction of a linker histone, H1, with the DNA between the nucleosomes to form higher order chromatin structures. This gene is intronless and encodes a replication-dependent histone that is a member of the histone H3 family. Transcripts from this gene lack polyA tails; instead, they contain a palindromic termination element. This gene is located separately from the other H3 genes that are in the histone gene cluster on chromosome 6p22-p21.3. [provided by RefSeq, Aug 2015] Function: Core component of nucleosome. Nucleosomes wrap and compact DNA into chromatin, limiting DNA accessibility to the cellular machineries which require DNA as a template. Histones thereby play a central role in transcription regulation, DNA repair, DNA replication and chromosomal stability. DNA accessibility is regulated via a complex set of post-translational modifications of histones, also called histone code, and nucleosome remodeling. Subunit: The nucleosome is a histone octamer containing two molecules each of H2A, H2B, H3 and H4 assembled in one H3-H4 heterotetramer and two H2A-H2B heterodimers. The octamer wraps approximately 147 bp of DNA. Subcellular Location: Nucleus; Chromosome Tissue Specificity: Expressed in testicular cells.Expressed during S phase, then expression strongly decreases as cell division slows down during the process of differentiation. Post-translational modifications: Acetylation is generally linked to gene activation. Acetylation on Lys-10 (H3K9ac) impairs methylation at Arg-9 (H3R8me2s). Acetylation on Lys-19 (H3K18ac) and Lys-24 (H3K24ac) favors methylation at Arg-18 (H3R17me). Acetylation at Lys-123 (H3K122ac) by EP300/p300 plays a central role in chromatin structure: localizes at the surface of the histone octamer and stimulates transcription, possibly by promoting nucleosome instability (By similarity). Citrullination at Arg-9 (H3R8ci) and/or Arg-18 (H3R17ci) by PADI4 impairs methylation and represses transcription. Asymmetric dimethylation at Arg-18 (H3R17me2a) by CARM1 is linked to gene activation. Symmetric dimethylation at Arg-9 (H3R8me2s) by PRMT5 is linked to gene repression. Asymmetric dimethylation at Arg-3 (H3R2me2a) by PRMT6 is linked to gene repression and is mutually exclusive with H3 Lys-5 methylation (H3K4me2 and H3K4me3). H3R2me2a is present at the 3' of genes regardless of their transcription state and is enriched on inactive promoters, while it is absent on active promoters (By similarity). Methylation at Lys-5 (H3K4me), Lys-37 (H3K36me) and Lys-80 (H3K79me) are linked to gene activation. Methylation at Lys-5 (H3K4me) facilitates subsequent acetylation of H3 and H4. Methylation at Lys-80 (H3K79me) is associated with DNA double-strand break (DSB) responses and is a specific target for TP53BP1. Methylation at Lys-10 (H3K9me) and Lys-28 (H3K27me) are linked to gene repression. Methylation at Lys-10 (H3K9me) is a specific target for HP1 proteins (CBX1, CBX3 and CBX5) and prevents subsequent phosphorylation at Ser-11 (H3S10ph) and acetylation of H3 and H4. Methylation at Lys-5 (H3K4me) and Lys-80 (H3K79me) require preliminary monoubiquitination of H2B at 'Lys-120'. Methylation at Lys-10 (H3K9me) and Lys-28 (H3K27me) are enriched in inactive X chromosome chromatin. Monomethylation at Lys-57 (H3K56me1) by EHMT2/G9A in G1 phase promotes interaction with PCNA and is required for DNA replication (By similarity). Phosphorylated at Thr-4 (H3T3ph) by GSG2/haspin during prophase and dephosphorylated during anaphase. Phosphorylation at Ser-11 (H3S10ph) by AURKB is crucial for chromosome condensation and cell-cycle progression during mitosis and meiosis. In addition phosphorylation at Ser-11 (H3S10ph) by RPS6KA4 and RPS6KA5 is important during interphase because it enables the transcription of genes following external stimulation, like mitogens, stress, growth factors or UV irradiation and result in the activation of genes, such as c-fos and c-jun. Phosphorylation at Ser-11 (H3S10ph), which is linked to gene activation, prevents methylation at Lys-10 (H3K9me) but facilitates acetylation of H3 and H4. Phosphorylation at Ser-11 (H3S10ph) by AURKB mediates the dissociation of HP1 proteins (CBX1, CBX3 and CBX5) from heterochromatin. Phosphorylation at Ser-11 (H3S10ph) is also an essential regulatory mechanism for neoplastic cell transformation. Phosphorylated at Ser-29 (H3S28ph) by MLTK isoform 1, RPS6KA5 or AURKB during mitosis or upon ultraviolet B irradiation. Phosphorylation at Thr-7 (H3T6ph) by PRKCB is a specific tag for epigenetic transcriptional activation that prevents demethylation of Lys-5 (H3K4me) by LSD1/KDM1A. At centromeres, specifically phosphorylated at Thr-12 (H3T11ph) from prophase to early anaphase, by DAPK3 and PKN1. Phosphorylation at Thr-12 (H3T11ph) by PKN1 is a specific tag for epigenetic transcriptional activation that promotes demethylation of Lys-10 (H3K9me) by KDM4C/JMJD2C. Phosphorylation at Tyr-42 (H3Y41ph) by JAK2 promotes exclusion of CBX5 (HP1 alpha) from chromatin (By similarity). Ubiquitinated. Lysine deamination at Lys-5 (H3K4all) to form allysine is mediated by LOXL2. Allysine formation by LOXL2 only takes place on H3K4me3 and results in gene repression. Similarity: Belongs to the histone H3 family. SWISS: Q16695 Gene ID: 8290 Database links: Entrez Gene: 8290 Human Entrez Gene: 8350 Human Entrez Gene: 8351 Human Entrez Gene: 8352 Human Entrez Gene: 8353 Human Entrez Gene: 8354 Human Entrez Gene: 8355 Human Entrez Gene: 8356 Human Entrez Gene: 8357 Human Entrez Gene: 8358 Human Entrez Gene: 8968 Human Entrez Gene: 260423 Mouse Entrez Gene: 319148 Mouse Entrez Gene: 319149 Mouse Entrez Gene: 319150 Mouse Entrez Gene: 319151 Mouse Entrez Gene: 319152 Mouse Entrez Gene: 319153 Mouse Entrez Gene: 360198 Mouse Entrez Gene: 97908 Mouse Omim: 601128 Human Omim: 602810 Human Omim: 602811 Human Omim: 602812 Human Omim: 602813 Human Omim: 602814 Human Omim: 602815 Human Omim: 602816 Human Omim: 602817 Human Omim: 602818 Human Omim: 602819 Human SwissProt: P68431 Human SwissProt: P84243 Human SwissProt: Q16695 Human SwissProt: Q6NXT2 Human SwissProt: Q71DI3 Human SwissProt: P68433 Mouse SwissProt: P84228 Mouse Unigene: 132854 Human Unigene: 247813 Human Unigene: 247814 Human Unigene: 248176 Human Unigene: 443021 Human Unigene: 484990 Human Unigene: 532144 Human Unigene: 533292 Human Unigene: 546315 Human Unigene: 586261 Human Unigene: 591778 Human Unigene: 221301 Mouse Unigene: 261657 Mouse Unigene: 377874 Mouse Unigene: 390558 Mouse Unigene: 397328 Mouse Unigene: 138090 Rat Important Note: This product as supplied is intended for research use only, not for use in human, therapeutic or diagnostic applications. |















