
货号
产品规格
售价
备注
BN41560R-50ul
50ul
¥1486.00
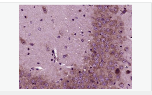
交叉反应:Human,Mouse,Rat 推荐应用:WB,IHC-P,IHC-F,IF,ELISA
BN41560R-100ul
100ul
¥2360.00
交叉反应:Human,Mouse,Rat 推荐应用:WB,IHC-P,IHC-F,IF,ELISA
BN41560R-200ul
200ul
¥3490.00
交叉反应:Human,Mouse,Rat 推荐应用:WB,IHC-P,IHC-F,IF,ELISA
| 英文名称 | DVL1 |
| 中文名称 | 蓬乱蛋白1抗体 |
| 别 名 | Dishevelled 1; Dishevelled; Dishevelled dsh homolog 1; Dishevelled1; DSH homolog 1; Dvl; MGC54245; Segment polarity protein dishevelled homolog DVL 1; Segment polarity protein dishevelled homolog DVL1; DVL1_HUMAN. |
| 研究领域 | 免疫学 神经生物学 |
| 抗体来源 | Rabbit |
| 克隆类型 | Polyclonal |
| 交叉反应 | Human, Mouse, Rat, |
| 产品应用 | WB=1:500-2000 ELISA=1:5000-10000 IHC-P=1:100-500 IHC-F=1:100-500 Flow-Cyt=1ug/Test IF=1:100-500 (石蜡切片需做抗原修复) not yet tested in other applications. optimal dilutions/concentrations should be determined by the end user. |
| 分 子 量 | 76kDa |
| 细胞定位 | 细胞浆 细胞膜 |
| 性 状 | Liquid |
| 浓 度 | 1mg/ml |
| 免 疫 原 | KLH conjugated synthetic peptide derived from human DVL1:21-100/695 |
| 亚 型 | IgG |
| 纯化方法 | affinity purified by Protein A |
| 储 存 液 | 0.01M TBS(pH7.4) with 1% BSA, 0.03% Proclin300 and 50% Glycerol. |
| 保存条件 | Shipped at 4℃. Store at -20 °C for one year. Avoid repeated freeze/thaw cycles. |
| PubMed | PubMed |
| 产品介绍 | DVL1 may play a role in the signal transduction pathway mediated by multiple Wnt genes. [Subunit] Interacts with BRD7 and INVS. Interacts through its PDZ domain with the C-terminal regions of VANGL1, VANGL2 and CCDC88C/DAPLE. Interacts (via PDZ domain) with NXN (By similarity). Interacts with CXXC4. [Subcellular Location] Cytoplasm (Potential). Belongs to the DSH family. Function: Participates in Wnt signaling by binding to the cytoplasmic C-terminus of frizzled family members and transducing the Wnt signal to down-stream effectors. Plays a role both in canonical and non-canonical Wnt signaling. Plays a role in the signal transduction pathways mediated by multiple Wnt genes. Required for LEF1 activation upon WNT1 and WNT3A signaling. DVL1 and PAK1 form a ternary complex with MUSK which is important for MUSK-dependent regulation of AChR clustering during the formation of the neuromuscular junction (NMJ). Subunit: Interacts with CXXC4. Interacts (via PDZ domain) with NXN (By similarity). Interacts with BRD7 and INVS. Interacts through its PDZ domain with the C-terminal regions of VANGL1, VANGL2 and CCDC88C/DAPLE. Interacts with ARRB1; the interaction is enhanced by phosphorylation of DVL1. Interacts with CYLD (By similarity). Interacts (via PDZ domain) with RYK. Self-associates (via DIX domain) and forms higher homooligomers. Interacts (via PDZ domain) with DACT1 and FZD7, where DACT1 and FZD7 compete for the same binding site (By similarity). Interacts (via DEP domain) with MUSK; the interaction is direct and mediates the formation a DVL1, MUSK and PAK1 ternary complex involved in AChR clustering (By similarity). Subcellular Location: Cell membrane. Cytoplasm, cytosol. Cytoplasmic vesicle. Localizes at the cell membrane upon interaction with frizzled family members. Post-translational modifications: Ubiquitinated; undergoes both 'Lys-48'-linked ubiquitination, leading to its subsequent degradation by the ubiquitin-proteasome pathway, and 'Lys-63'-linked ubiquitination. The interaction with INVS is required for ubiquitination. Deubiquitinated by CYLD, which acts on 'Lys-63'-linked ubiquitin chains. Similarity: Belongs to the DSH family. Contains 1 DEP domain. Contains 1 DIX domain. Contains 1 PDZ (DHR) domain. SWISS: O14640 Gene ID: 1855 Database links: Entrez Gene: 1855 Human Entrez Gene: 13542 Mouse Omim: 601365 Human SwissProt: Q5IS48 Chimpanzee SwissProt: O14640 Human SwissProt: P51141 Mouse Unigene: 741165 Human Unigene: 3400 Mouse Unigene: 144610 Rat Important Note: This product as supplied is intended for research use only, not for use in human, therapeutic or diagnostic applications. dishevelled-1蓬乱蛋白-1主要用于神经退行性改变-AD病方面的研究. |







