
货号
产品规格
售价
备注
BN41647R-50ul
50ul
¥1486.00
交叉反应:Rat,Mouse,Human(predicted:Rabbit,Horse,Cow,Pig,Dog,Chicken) 推荐应用:WB,IHC-P,IHC-F,ICC,IF,ELISA
BN41647R-100ul
100ul
¥2360.00
交叉反应:Rat,Mouse,Human(predicted:Rabbit,Horse,Cow,Pig,Dog,Chicken) 推荐应用:WB,IHC-P,IHC-F,ICC,IF,ELISA
BN41647R-200ul
200ul
¥3490.00
交叉反应:Rat,Mouse,Human(predicted:Rabbit,Horse,Cow,Pig,Dog,Chicken) 推荐应用:WB,IHC-P,IHC-F,ICC,IF,ELISA
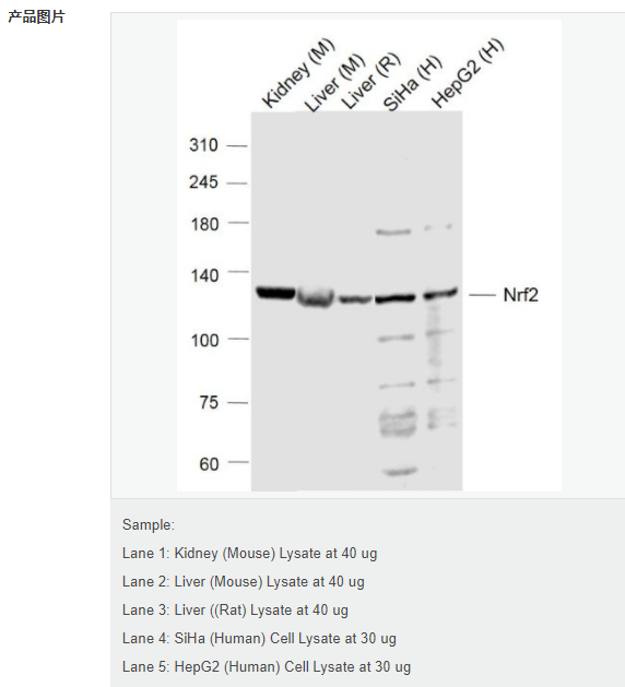
| 英文名称 | Nrf2 |
| 中文名称 | 核因子2相关因子2抗体 |
| 别 名 | Nuclear factor-E2 related factor2; Nrf-2; HEBP1; NF E2 related factor 2; NFE2 related factor 2; NFE2L2; Nrf 2; Nuclear factor erythroid 2 related factor 2; Nuclear factor erythroid derived 2 like 2; NF2L2_HUMAN. |
| 研究领域 | 肿瘤 免疫学 染色质和核信号 合成与降解 |
| 抗体来源 | Rabbit |
| 克隆类型 | Polyclonal |
| 交叉反应 | Human, Mouse, Rat, (predicted: Chicken, Dog, Cow, Horse, Rabbit, ) |
| 产品应用 | WB=1:100-1000 ELISA=1:1000-5000 IHC-P=1:100-1000 IHC-F=1:100-1000 ICC=1:100 IF=1:100-1000 (石蜡切片需做抗原修复) not yet tested in other applications. optimal dilutions/concentrations should be determined by the end user. |
| 分 子 量 | 68kDa |
| 细胞定位 | 细胞核 细胞浆 |
| 性 状 | Liquid |
| 浓 度 | 1mg/ml |
| 免 疫 原 | KLH conjugated synthetic peptide derived from human Nrf2:401-500/605 |
| 亚 型 | IgG |
| 纯化方法 | affinity purified by Protein A |
| 储 存 液 | 0.01M TBS(pH7.4) with 1% BSA, 0.03% Proclin300 and 50% Glycerol. |
| 保存条件 | Shipped at 4℃. Store at -20 °C for one year. Avoid repeated freeze/thaw cycles. |
| PubMed | PubMed |
| 产品介绍 | Transcription activator that binds to antioxidant response (ARE) elements in the promoter regions of target genes. Important for the coordinated up-regulation of genes in response to oxidative stress. May be involved in the transcriptional activation of genes of the beta-globin cluster by mediating enhancer activity of hypersensitive site 2 of the beta-globin locus control region. Function: Transcription activator that binds to antioxidant response (ARE) elements in the promoter regions of target genes. Important for the coordinated up-regulation of genes in response to oxidative stress. May be involved in the transcriptional activation of genes of the beta-globin cluster by mediating enhancer activity of hypersensitive site 2 of the beta-globin locus control region. Subunit: Heterodimer. May bind DNA with an unknown protein. Interacts with KEAP1. Interacts via its leucine-zipper domain with the coiled-coil domain of PMF1. Subcellular Location: Cytoplasm, cytosol. Nucleus. Note=Cytosolic under unstressed conditions, translocates into the nucleus upon induction by electrophilic agents. Tissue Specificity: Widely expressed. Highest expression in adult muscle, kidney, lung, liver and in fetal muscle. Post-translational modifications: Phosphorylation of Ser-40 by PKC in response to oxidative stress dissociates NFE2L2 from its cytoplasmic inhibitor KEAP1, promoting its translocation into the nucleus. Similarity: Belongs to the bZIP family. CNC subfamily. Contains 1 bZIP domain. SWISS: Q16236 Gene ID: 4780 Database links: Entrez Gene: 4780 Human Omim: 600492 Human SwissProt: Q16236 Human Important Note: This product as supplied is intended for research use only, not for use in human, therapeutic or diagnostic applications. 转录调节因子(Transcriptin Regulators) 核细胞系因子2相关因子Nrf2,是一种对氧化还原反应敏感的转录因子,可以通过正向促进基因的表达,来转录翻译产生一些抗氧化物,行使着异化解毒的酶类和药物的高效外排泵作用。 有学者认为:核因子2相关因子2蛋白在保护细胞免受环境毒性物质影响方面发挥着极其重要的作用,它指导某些基因促进细胞的防御工事,同时也刺激某些重要解毒酶对毒性物质,如黄曲霉素的解毒和排毒作用。 |







