
货号
产品规格
售价
备注
BN41990M-50ul
50ul
¥1486.00
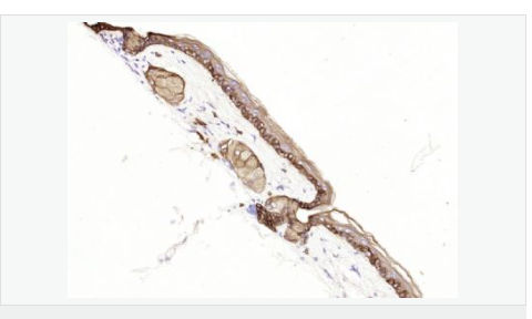
交叉反应:Human,Mouse(predicted:Rat) 推荐应用:IHC-P,IHC-F,ICC,IF
BN41990M-100ul
100ul
¥2360.00
交叉反应:Human,Mouse(predicted:Rat) 推荐应用:IHC-P,IHC-F,ICC,IF
| 英文名称 | CK16 |
| 中文名称 | 细胞角蛋白16单克隆抗体 |
| 别 名 | Cytokeratin 16; CK 16; Focal non epidermolytic palmoplantar keratoderma; K 16; K16; K1CP; CK-16; CK16; Cytokeratin-16; FNEPPK; K1C16_HUMAN; Keratin; Keratin-16; type I cytoskeletal 16; Keratin 16; Keratin type I cytoskeletal 16; Keratin16; KRT 16; KRT16; KRT16A; NEPPK. |
| 研究领域 | 肿瘤 细胞生物 免疫学 信号转导 |
| 抗体来源 | Mouse |
| 克隆类型 | Monoclonal |
| 克 隆 号 | 8H6 |
| 交叉反应 | Human, Mouse, (predicted: Rat, ) |
| 产品应用 | IHC-P=1:100-500 IHC-F=1:100-500 ICC=1:100-500 IF=1:200-800 (石蜡切片需做抗原修复) not yet tested in other applications. optimal dilutions/concentrations should be determined by the end user. |
| 分 子 量 | 51kDa |
| 细胞定位 | 细胞浆 细胞膜 |
| 性 状 | Liquid |
| 浓 度 | 1mg/ml |
| 免 疫 原 | Recombinant human CK16 protein:full length |
| 亚 型 | IgG |
| 纯化方法 | affinity purified by Protein G |
| 储 存 液 | 0.01M TBS(pH7.4) with 1% BSA, 0.03% Proclin300 and 50% Glycerol. |
| 保存条件 | Shipped at 4℃. Store at -20 °C for one year. Avoid repeated freeze/thaw cycles. |
| PubMed | PubMed |
| 产品介绍 | The protein encoded by this gene is a member of the keratin gene family. The keratins are intermediate filament proteins responsible for the structural integrity of epithelial cells and are subdivided into cytokeratins and hair keratins. Most of the type I cytokeratins consist of acidic proteins which are arranged in pairs of heterotypic keratin chains and are clustered in a region of chromosome 17q12-q21. This keratin has been coexpressed with keratin 14 in a number of epithelial tissues, including esophagus, tongue, and hair follicles. Mutations in this gene are associated with type 1 pachyonychia congenita, non-epidermolytic palmoplantar keratoderma and unilateral palmoplantar verrucous nevus. [provided by RefSeq, Jul 2008]. Subunit: Heterodimer of a type I and a type II keratin. KRT16 associates with KRT6 isomers. Interacts with TCHP. Interacts with TRADD (By similarity). Tissue Specificity: Expressed in the hair follicle, nail bed and in mucosal stratified squamous epithelia and, suprabasally, in oral epithelium and palmoplantar epidermis. Also found in luminal cells of sweat and mammary gland ducts. DISEASE: Pachyonychia congenita 1 (PC1) [MIM:167200]: An autosomal dominant ectodermal dysplasia characterized by hypertrophic nail dystrophy resulting in onchyogryposis (thickening and increase in curvature of the nail), palmoplantar keratoderma, follicular hyperkeratosis, and oral leukokeratosis. Hyperhidrosis of the hands and feet is usually present. Note=The disease is caused by mutations affecting the gene represented in this entry. Keratoderma, palmoplantar, non-epidermolytic, focal (FNEPPK) [MIM:613000]: A dermatological disorder characterized by non-epidermolytic palmoplantar keratoderma limited to the pressure points on the balls of the feet, with later mild involvement on the palms. Oral, genital and follicular keratotic lesions are often present. Note=The disease is caused by mutations affecting the gene represented in this entry. Unilateral palmoplantar verrucous nevus (UPVN) [MIM:144200]: UPVN is characterized by a localized epidermolytic hyperkeratosis in parts of the right palm and the right sole, following the lines of Blaschko. Note=The disease is caused by mutations affecting the gene represented in this entry. Note=KRT16 and KRT17 are coexpressed only in pathological situations such as metaplasias and carcinomas of the uterine cervix and in psoriasis vulgaris. Similarity: Belongs to the intermediate filament family. SWISS: P08779 Gene ID: 3868 Database links: Entrez Gene: 3868 Human Omim: 148067 Human SwissProt: P08779 Human Unigene: 655160 Human Important Note: This product as supplied is intended for research use only, not for use in human, therapeutic or diagnostic applications. |



