
货号
产品规格
售价
备注
BN42011M-50ul
50ul
¥1486.00
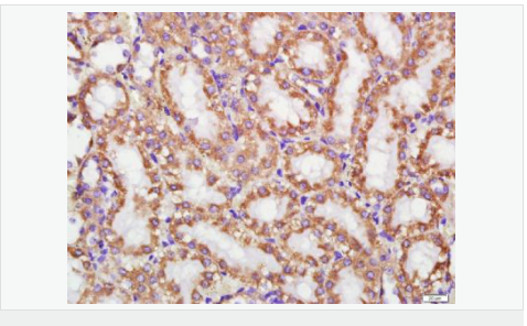
交叉反应:Rat,Mouse,Human 推荐应用:WB,IHC-P,IHC-F,ICC,IF
BN42011M-100ul
100ul
¥2360.00
交叉反应:Rat,Mouse,Human 推荐应用:WB,IHC-P,IHC-F,ICC,IF
| 英文名称 | Cytochrome C |
| 中文名称 | 细胞色素C单克隆抗体 |
| 别 名 | CytC; CYC; CYCS; Cytochrome c somatic; HCS; CYC_HUMAN; Cytochrome c; MSA06; THC4. |
| 研究领域 | 肿瘤 心血管 细胞生物 神经生物学 细胞凋亡 线粒体 |
| 抗体来源 | Mouse |
| 克隆类型 | Monoclonal |
| 克 隆 号 | 6B10 |
| 交叉反应 | Human, Rat, (predicted: Mouse, ) |
| 产品应用 | WB=1:500-1000 IHC-P=1:100-500 IHC-F=1:100-500 ICC=1:100-500 IF=1:100-500 (石蜡切片需做抗原修复) not yet tested in other applications. optimal dilutions/concentrations should be determined by the end user. |
| 分 子 量 | 14kDa |
| 细胞定位 | 细胞浆 线粒体 |
| 性 状 | Liquid |
| 浓 度 | 1mg/ml |
| 免 疫 原 | Recombinant human Cytochrome C Protein: |
| 亚 型 | IgG |
| 纯化方法 | affinity purified by Protein G |
| 储 存 液 | 0.01M TBS(pH7.4) with 1% BSA, 0.03% Proclin300 and 50% Glycerol. |
| 保存条件 | Shipped at 4℃. Store at -20 °C for one year. Avoid repeated freeze/thaw cycles. |
| PubMed | PubMed |
| 产品介绍 | Cytochrome C is an electron transporting protein that resides within the intermembrane space of the mitochondria, where it plays a critical role in the process of oxidative phosphorylation and production of cellular ATP. An increasing amount of interest has been directed toward the role which cytocrome C has been demonstrated to play in apoptotic processes. Following exposure to apoptotic stimuli, cytochrome C is rapidly released from the mitochondria into the cytosol, an event which may be required for the completion of apoptosis in some systems. Cytosolic cytochrome C functions in the activation of caspase 3, an ICE family molecule that is a key effector of apoptosis. Function: Electron carrier protein. The oxidized form of the cytochrome c heme group can accept an electron from the heme group of the cytochrome c1 subunit of cytochrome reductase. Cytochrome c then transfers this electron to the cytochrome oxidase complex, the final protein carrier in the mitochondrial electron-transport chain. Plays a role in apoptosis. Suppression of the anti-apoptotic members or activation of the pro-apoptotic members of the Bcl-2 family leads to altered mitochondrial membrane permeability resulting in release of cytochrome c into the cytosol. Binding of cytochrome c to Apaf-1 triggers the activation of caspase-9, which then accelerates apoptosis by activating other caspases. Subcellular Location: Mitochondrion intermembrane space. Note=Loosely associated with the inner membrane. Post-translational modifications: Binds 1 heme group per subunit. Phosphorylation at Tyr-49 and Tyr-98 both reduce by half the turnover in the reaction with cytochrome c oxidase, down-regulating mitochondrial respiration. DISEASE: Defects in CYCS are the cause of thrombocytopenia type 4 (THC4) [MIM:612004]; also known as autosomal dominant thrombocytopenia type 4. Thrombocytopenia is the presence of relatively few platelets in blood. THC4 is a non-syndromic form of thrombocytopenia. Clinical manifestations of thrombocytopenia are absent or mild. THC4 may be caused by dysregulated platelet formation. Similarity: Belongs to the cytochrome c family. SWISS: P99999 Gene ID: 54205 Database links: Entrez Gene: 54205 Human Entrez Gene: 13063 Mouse Omim: 123970 Human SwissProt: P99999 Human SwissProt: P62897 Mouse Unigene: 437060 Human Important Note: This product as supplied is intended for research use only, not for use in human, therapeutic or diagnostic applications. 细胞色素C(cytC)是一种电子传递链蛋白为线粒体呼吸链必须的成份之一。在哺乳动物细胞中,如此高度保守性蛋白常分布在线粒体内膜。 新近研究证明细胞浆中细胞色素C为激活细胞调亡所必需的因子。在调亡的过程中,细胞色素C从线粒体膜被易位到细胞浆,由细胞色素C激活Caspase-3(CPP32)。 细胞色素C的易位可被过量表达的Bcl-2阻断。细胞色素B与细胞色素C1和Rieske蛋白相结合而形成复合物III(也称细胞色素B-C1复合物)参与细胞呼吸链。该蛋白动物种属间同源性较高;如 :猪、犬、牛、鸡、豚鼠等。 |





