
货号
产品规格
售价
备注
BN42074R-50ul
50ul
¥2020.00
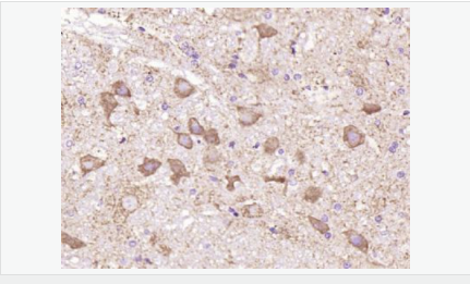
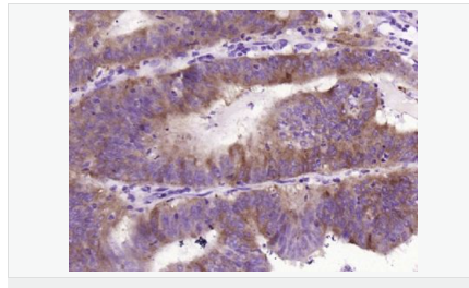
交叉反应:Rat,Mouse,Human 推荐应用:WB,IHC-P,IHC-F,ICC,IF
BN42074R-100ul
100ul
¥3240.00
交叉反应:Rat,Mouse,Human 推荐应用:WB,IHC-P,IHC-F,ICC,IF
| 英文名称 | Cytochrome C |
| 中文名称 | 细胞色素C重组兔单克隆抗体 |
| 别 名 | CytC; CYC; CYCS; Cytochrome c somatic; HCS; CYC_HUMAN; Cytochrome-c; MSA06; THC4. |
| 研究领域 | 肿瘤 心血管 细胞生物 神经生物学 信号转导 细胞凋亡 脂蛋白 新陈代谢 线粒体 |
| 抗体来源 | Rabbit |
| 克隆类型 | Monoclonal |
| 克 隆 号 | 1F10 |
| 交叉反应 | Human, Mouse, Rat, |
| 产品应用 | WB=1:500-1000 IHC-P=1:50-200 IHC-F=1:50-200 ICC=1:50-200 IF=1:50-200 (石蜡切片需做抗原修复) not yet tested in other applications. optimal dilutions/concentrations should be determined by the end user. |
| 分 子 量 | 12.8/26kDa |
| 细胞定位 | 细胞浆 细胞膜 线粒体 |
| 性 状 | Liquid |
| 浓 度 | 1mg/ml |
| 免 疫 原 | Recombinant human Cytochrome C protein, full length: |
| 亚 型 | IgG |
| 纯化方法 | affinity purified by Protein A |
| 储 存 液 | 0.01M TBS(pH7.4) with 1% BSA, 0.03% Proclin300 and 50% Glycerol. |
| 保存条件 | Shipped at 4℃. Store at -20 °C for one year. Avoid repeated freeze/thaw cycles. |
| PubMed | PubMed |
| 产品介绍 | Cytochrome C is an electron transporting protein that resides within the intermembrane space of the mitochondria, where it plays a critical role in the process of oxidative phosphorylation and production of cellular ATP. An increasing amount of interest has been directed toward the role which cytocrome C has been demonstrated to play in apoptotic processes. Following exposure to apoptotic stimuli, cytochrome C is rapidly released from the mitochondria into the cytosol, an event which may be required for the completion of apoptosis in some systems. Cytosolic cytochrome C functions in the activation of caspase 3, an ICE family molecule that is a key effector of apoptosis. Function: Electron carrier protein. The oxidized form of the cytochrome c heme group can accept an electron from the heme group of the cytochrome c1 subunit of cytochrome reductase. Cytochrome c then transfers this electron to the cytochrome oxidase complex, the final protein carrier in the mitochondrial electron-transport chain. Plays a role in apoptosis. Suppression of the anti-apoptotic members or activation of the pro-apoptotic members of the Bcl-2 family leads to altered mitochondrial membrane permeability resulting in release of cytochrome c into the cytosol. Binding of cytochrome c to Apaf-1 triggers the activation of caspase-9, which then accelerates apoptosis by activating other caspases. Subcellular Location: Mitochondrion intermembrane space. Note=Loosely associated with the inner membrane. Post-translational modifications: Binds 1 heme group per subunit. Phosphorylation at Tyr-49 and Tyr-98 both reduce by half the turnover in the reaction with cytochrome c oxidase, down-regulating mitochondrial respiration. DISEASE: Defects in CYCS are the cause of thrombocytopenia type 4 (THC4) [MIM:612004]; also known as autosomal dominant thrombocytopenia type 4. Thrombocytopenia is the presence of relatively few platelets in blood. THC4 is a non-syndromic form of thrombocytopenia. Clinical manifestations of thrombocytopenia are absent or mild. THC4 may be caused by dysregulated platelet formation. Similarity: Belongs to the cytochrome c family. SWISS: P99999 Gene ID: 54205 Database links: Entrez Gene: 54205 Human Entrez Gene: 13063 Mouse Omim: 123970 Human SwissProt: P99999 Human SwissProt: P62897 Mouse Unigene: 437060 Human Important Note: This product as supplied is intended for research use only, not for use in human, therapeutic or diagnostic applications. |










