
货号
产品规格
售价
备注
BN42164R-50ul
50ul
¥2020.00
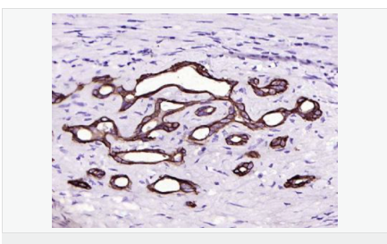
交叉反应:Human(predicted:Rat) 推荐应用:WB,IHC-P,IHC-F,ELISA
BN42164R-100ul
100ul
¥3240.00
交叉反应:Human(predicted:Rat) 推荐应用:WB,IHC-P,IHC-F,ELISA
| 英文名称 | CYP26A1 |
| 中文名称 | 细胞色素cP450 CYP26A1重组兔单克隆抗体 |
| 别 名 | CP26; CP26A_HUMAN; CYP26; CYP26A 1; cyp26a1; Cytochrome P450 26A1; Cytochrome P450 family 26 subfamily A polypeptide 1; Cytochrome P450 retinoic acid-inactivating 1; cytochrome P450, family 26, subfamily A, polypeptide 1; cytochrome P450, subfamily XXVIA, polypeptide 1; Cytochrome P450RAI; hP450RAI; OTTHUMP00000020102; OTTHUMP00000020103; P450; P450 retinoic acid inactivating 1; P450RAI; P450RAI1; Retinoic acid 4 hydroxylase; Retinoic acid 4-hydroxylase; Retinoic acid metabolizing cytochrome; Retinoic acid-metabolizing cytochrome. |
| 研究领域 | 肿瘤 细胞生物 神经生物学 信号转导 新陈代谢 |
| 抗体来源 | Rabbit |
| 克隆类型 | Monoclonal |
| 克 隆 号 | 11A1 |
| 交叉反应 | Human, (predicted: Rat, ) |
| 产品应用 | WB=1:500-1000 ELISA=1:5000-10000 IHC-P=1:50-200 IHC-F=1:50-200 (石蜡切片需做抗原修复) not yet tested in other applications. optimal dilutions/concentrations should be determined by the end user. |
| 分 子 量 | 48kDa |
| 细胞定位 | 细胞浆 细胞膜 |
| 性 状 | Liquid |
| 浓 度 | 1mg/ml |
| 免 疫 原 | Recombinant human CYP26A1:200-400/497 |
| 亚 型 | IgG |
| 纯化方法 | affinity purified by Protein A |
| 储 存 液 | 0.01M TBS(pH7.4) with 1% BSA, 0.03% Proclin300 and 50% Glycerol. |
| 保存条件 | Shipped at 4℃. Store at -20 °C for one year. Avoid repeated freeze/thaw cycles. |
| PubMed | PubMed |
| 产品介绍 | The cytochrome P450 proteins (CYPs) are monooxygenases that catalyze many reactions involved in drug metabolism and synthesis of cholesterol, steroids, and other lipids. P450 enzymes are classified into subfamilies based on their sequence similarities. CYP26A1 is a major retinoic acid catabolic enzyme. CYP26A1 plays an important role in protecting tailbud tissues from inappropriate exposure to retinoic acid. CYP26A1 transcription is epigenetically regulated by nuclear retinoic acid receptor ∫2. Mutations in the gene encoding for CYP26A1 are associated with caudal agenesis and spina bifida, imperforate anus, agenesis of the caudal portions of the digestive and urogenital tracts, and malformed lumbosacral skeletal elements. CYP26A1 is upregulated in adenomatous polyposis coli mouse adenomas, human FAP adenomas, human sporadic colon carcinomas, and in the intestine of adenomatous polyposis coli (apcmcr) mutant zebrafish embryos. Function: Plays a key role in retinoic acid metabolism. Acts on retinoids, including all-trans-retinoic acid (RA) and its stereoisomer 9-cis-RA. Capable of both 4-hydroxylation and 18-hydroxylation. Responsible for generation of several hydroxylated forms of RA, including 4-OH-RA, 4-oxo-RA and 18-OH-RA. Subcellular Location : Endoplasmic reticulum membrane. Microsome membrane. Tissue Specificity: Highest levels in adult liver, heart, pituitary gland, adrenal gland, placenta and regions of the brain. Similarity: Belongs to the cytochrome P450 family. SWISS: O43174 Gene ID: 1592 Database links: Entrez Gene: 1592 Human Omim: 602239 Human SwissProt: O43174 Human Unigene: 150595 Human Unigene: 81072 Rat Important Note: This product as supplied is intended for research use only, not for use in human, therapeutic or diagnostic applications. |


